Małgorzata Spiżewska logo

Stomatologia zachowawcza Iława

Leczenie zachowawcze to szeroki zakres procedur stomatologicznych, które mają na celu: zapobieganie próchnicy (profilaktyka i zabiegi higienizacyjne), wczesną diagnostykę (zdjęcia RTG, badanie wewnątrzustne) oraz leczenie próchnicy (usuwanie zmian, znoszenie nadwrażliwości).

Podstawą pełnej diagnostyki jest wykonanie zdjęć RTG – pantomograficznego, skrzydłowo-zgryzowego, punktowego lub CBCT. Głównym elementem leczenia zachowawczego jest usunięcie zainfekowanych tkanek zęba i wypełnienie powstałego ubytku.

Regularne leczenie zachowawcze jest tańsze i mniej czasochłonne niż terapie zaawansowanych problemów. Próchnica jest chorobą zakaźną – nieleczona zwiększa ryzyko zakażenia zdrowych zębów.

Dzięki nowoczesnym technikom możliwe jest wczesne wykrycie problemu, uzyskanie trwałych efektów i uniknięcie powikłań prowadzących do utraty zębów i zaburzeń zgryzowych. Pracujemy w koferdamie (większa szczelność i komfort), minimalizujemy inwazyjność (m.in. laserowe usuwanie próchnicy) oraz działamy w powiększeniu, oszczędzając zdrowe tkanki.

Stosujemy techniki i materiały adhezyjne najwyższej jakości, które pozwalają wiernie odtworzyć kształt, kolor i funkcję: wypełnienie pracuje jak naturalne tkanki zęba, a zęby z osłabionymi ścianami są mniej podatne na złamania.

Nieleczona próchnica zwiększa ryzyko chorób ogólnoustrojowych (serca, stawów, nerek, problemy okulistyczne) i prowadzi do: nieprawidłowego gryzienia i przeżuwania (konsekwencje dla układu pokarmowego), zaburzeń stawów skroniowo-żuchwowych, zaburzeń mowy, utraty podparcia dla tkanek miękkich twarzy i pogorszenia komfortu w życiu społecznym.

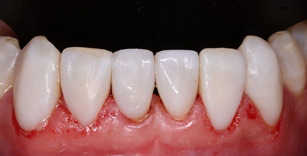
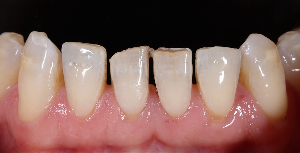
Nasze Metamorfozy

Before Gallery After Gallery

Faqs

  • 1. Czy każde leczenie wymaga zdjęcia RTG?
  • 2. Na czym polega „minimalnie inwazyjne” leczenie?
    Usuwamy wyłącznie tkanki zainfekowane, pracujemy w powiększeniu i w koferdamie. W wielu przypadkach korzystamy z lasera, aby oszczędzić zdrowe struktury i zwiększyć komfort.
  • 3. Czy zabieg będzie bolesny?
    Zabiegi wykonujemy w skutecznym znieczuleniu miejscowym. Techniki adhezyjne i izolacja koferdamem poprawiają komfort, a laser dodatkowo zmniejsza wrażliwość pozabiegową.
  • 4. Jakie są korzyści z materiałów adhezyjnych?
    Wysoka szczelność, świetna estetyka (dobór koloru do tkanek własnych), praca z wypełnieniem jak z naturalnym zębem oraz mniejsze ryzyko pęknięć dzięki wzmocnieniu osłabionych ścian.
  • 5. Dlaczego warto leczyć próchnicę „od razu”?
    Wczesne leczenie jest szybsze i tańsze, zapobiega infekcjom sąsiednich zębów, chroni przed powikłaniami (endo, utrata zęba, problemy zgryzowe) i zmniejsza ryzyko konsekwencji ogólnoustrojowych.

Zakres usług

  • Profilaktyka i zabiegi higienizacyjne

  • Wczesna diagnostyka: RTG (OPG, skrzydłowo-zgryzowe, punktowe), CBCT, badanie wewnątrzustne

  • Leczenie próchnicy i znoszenie nadwrażliwości

  • Praca w koferdamie i w powiększeniu

  • Minimalnie inwazyjne opracowanie ubytków (także laserem)

  • Wypełnienia adhezyjne najwyższej jakości (estetyka + funkcja)