Zobacz efekty naszych zabiegów i przekonaj się o możliwościach współczesnej stomatologii.
Młoda pacjenta zgłosiła się z powodu rotacji zębów oraz braku zawiązków stałych siekaczy bocznych. Po leczeniu ortodontycznym z odtworzeniem przestrzeni, uzupełniono braki zębowe oraz uzyskano wyrównany łuk zębowy i harmonijny uśmiech.
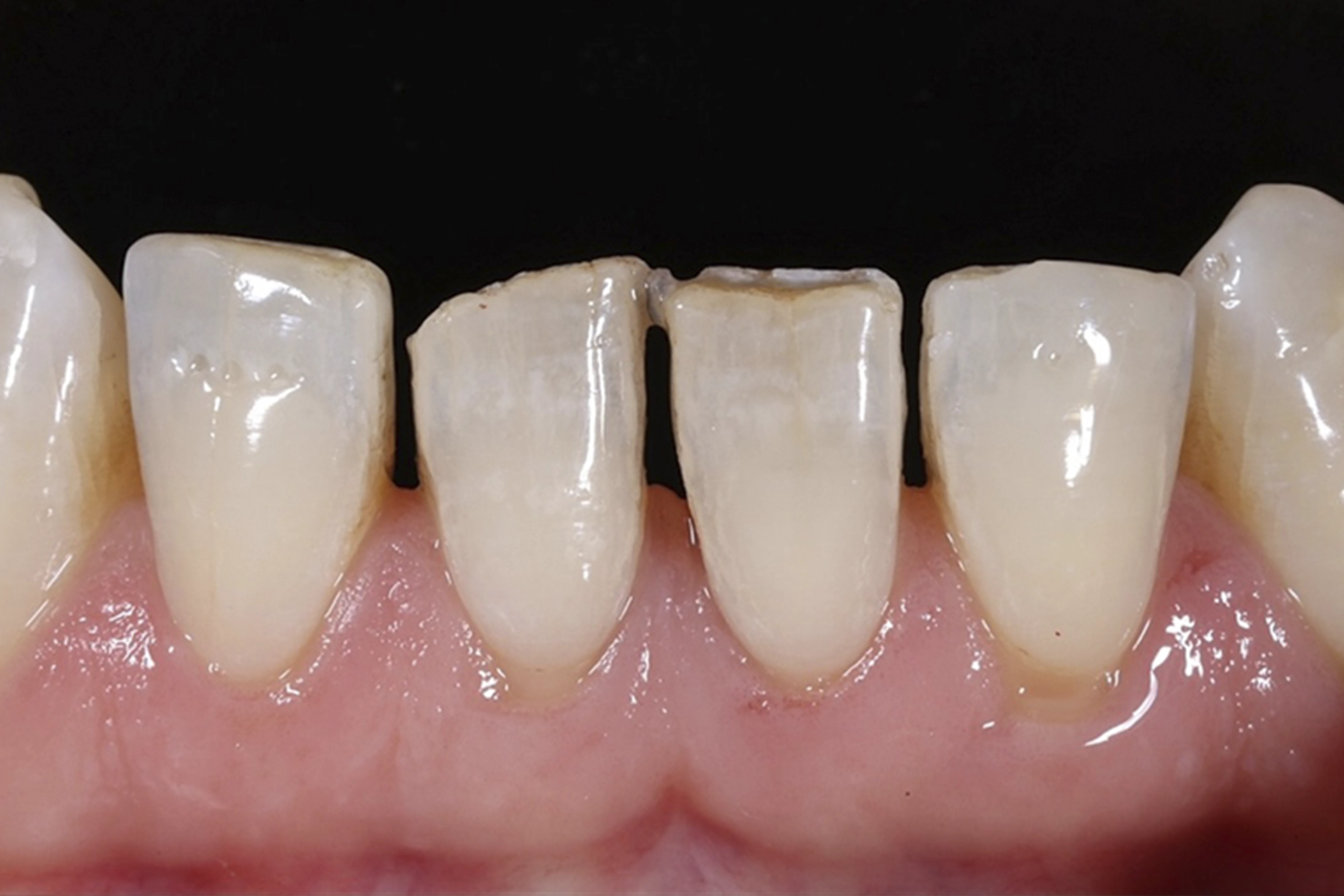
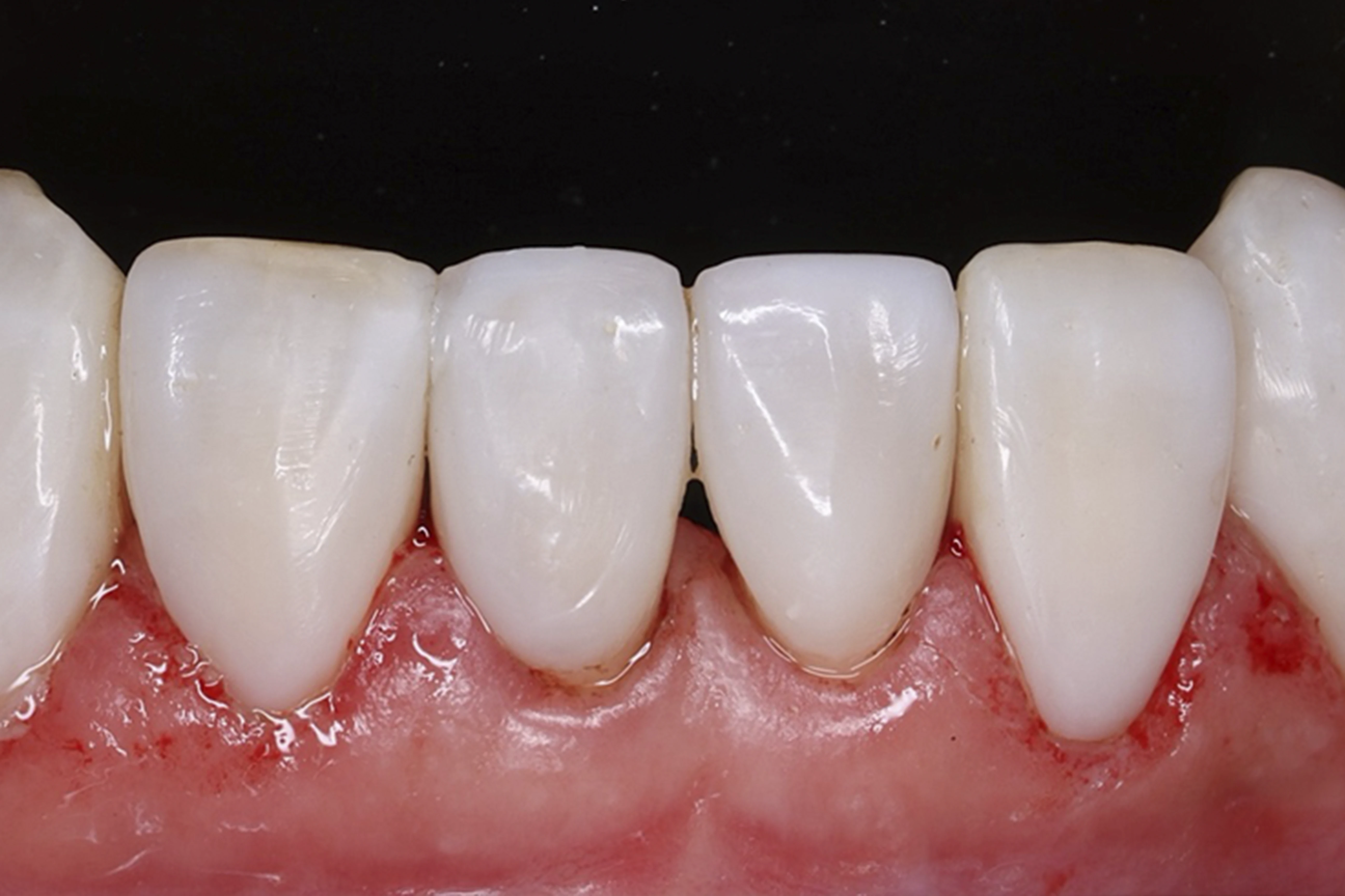
Pacjent zgłaszał niezadowolenie z kształtu i koloru siekaczy dolnych. Zastosowano nieinwazyjne leczenie w formie licówek kompozytowych wykonanych przez lekarza bezpośrednio podczas jednej wizyty. W efekcie osiągnięto wyrównanie brzegów siecznych, poprawę proporcji i kształtu oraz znaczne rozjaśnienie w naturalnej gamie kolorów.
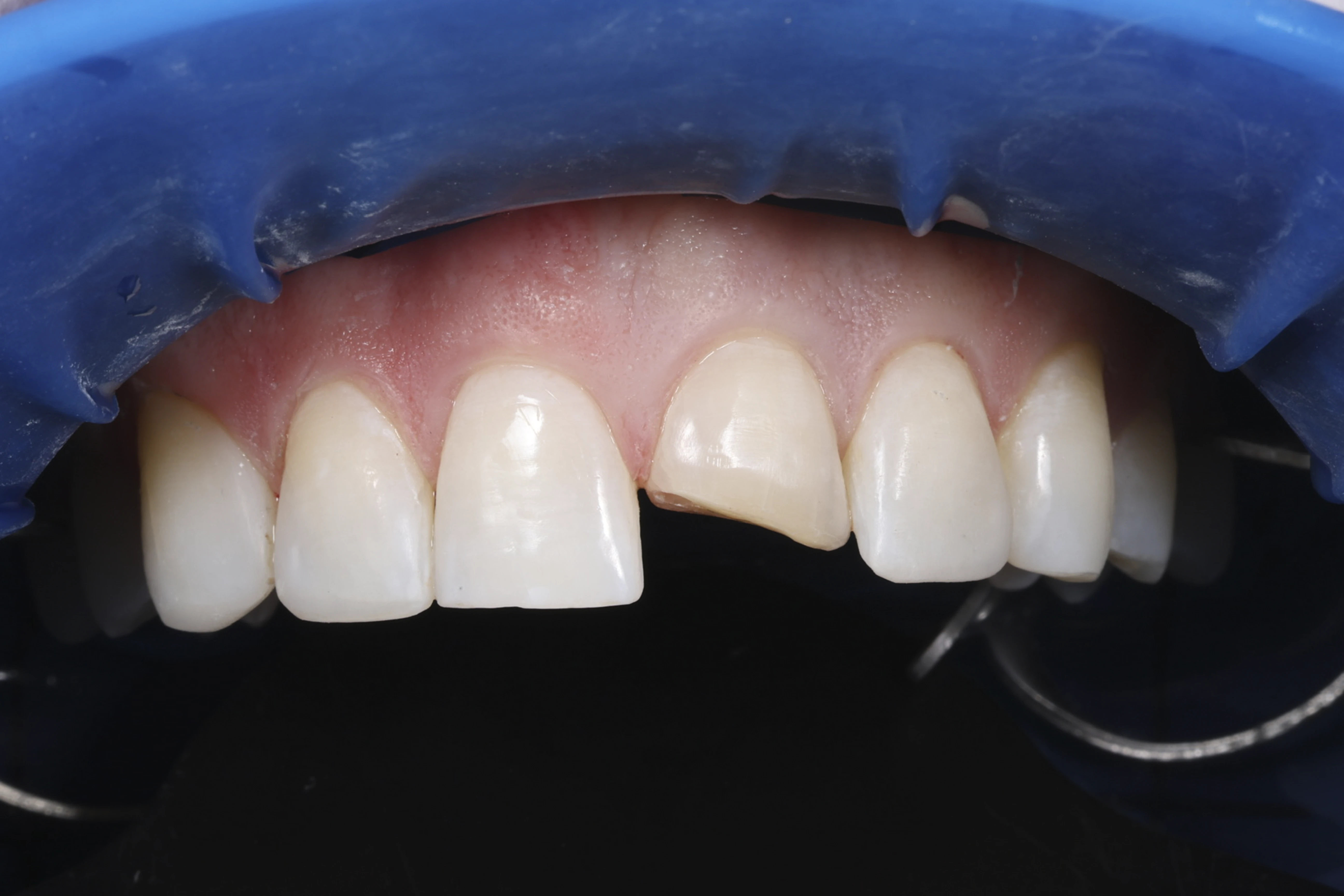
Pacjent zgłosił się z powodu wyraźnego przebarwienia jednego z siekaczy, związanego z nieprawidłowym wypełnieniem, oraz niezadowolenia z kształtu zębów przednich. Wykonano licówki kompozytowe bezpośrednie (bonding), korygując kształt i kolor celem minimalnie inwazyjnej pracy, z maksymalnie naturalnym efektem końcowym. Całe leczenie odbyło się podczas jednej wizyty.
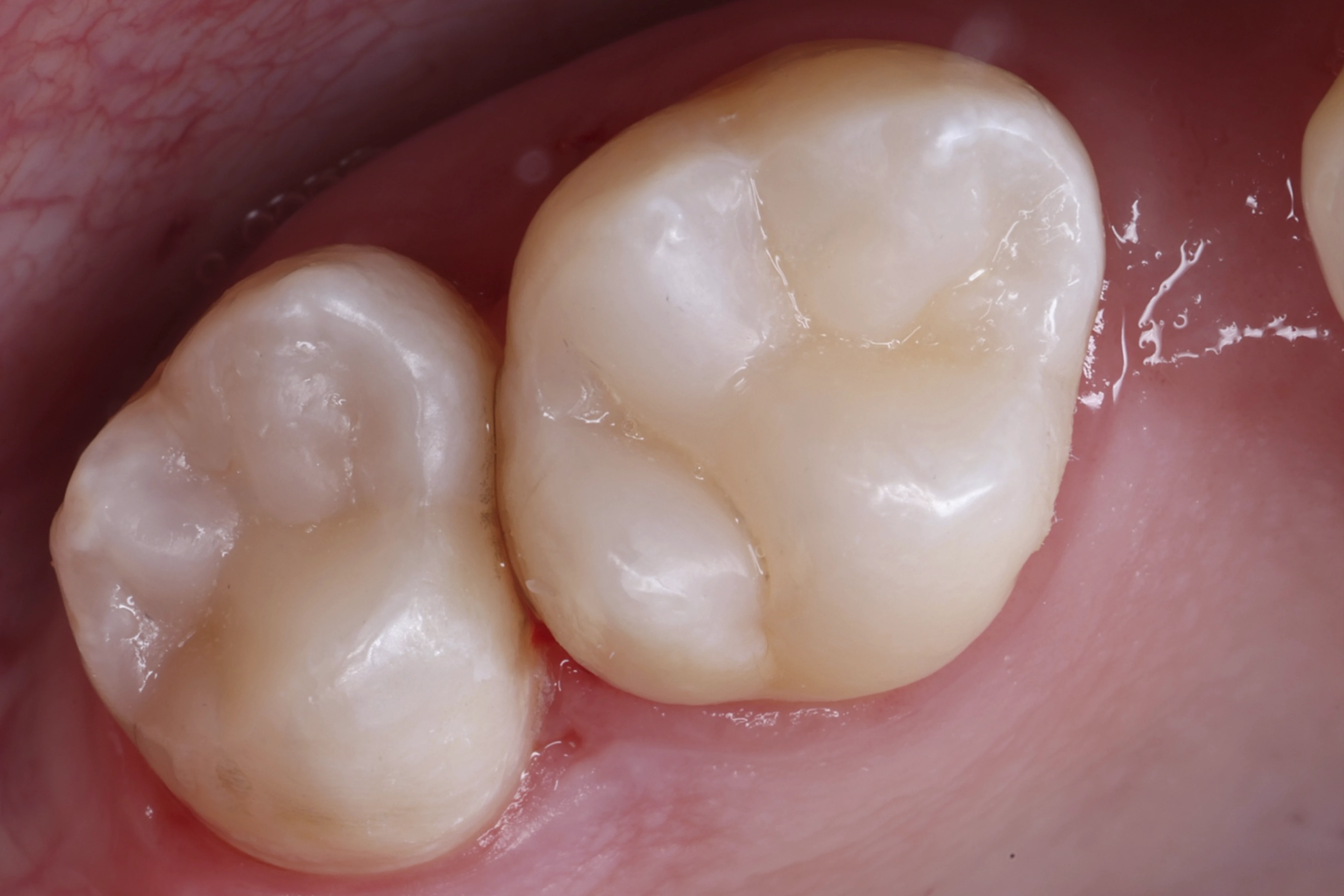
- usunięto stare, nieszczelne wypełnienia z próchnicą wtórną. Ząb opracowano w izolacji koferdamem, z zastosowaniem powiększenia, a następnie odbudowano z poszanowaniem zasad adhezji, materiałem najwyższej jakości, starannie odtwarzając naturalną anatomię zębów i poprawiając jego kolor i estetykę.
Brak metamorfoz w wybranej kategorii.
Korzystamy z plików cookies, aby zapewnić najlepszą jakość korzystania z naszej strony. Kontynuując przeglądanie, wyrażasz zgodę na ich użycie. Polityka prywatności
Wymagane do prawidłowego działania strony
Pomagają nam ulepszać stronę
Umożliwiają wyświetlanie dopasowanych treści